Zygomatic Arch Reduction and Malarplasty with Multiple Osteotomies: Its Geometric Considerations
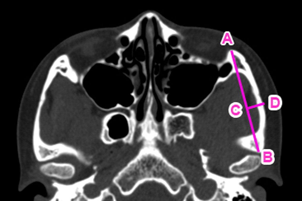
A digitalized CT image was used to estimate the arch height and the length of bone for removal from the zygomatic arch. A specific piece of bone was removed from…


